Dental Implants
Tooth loss can have a serious negative impact on your self-confidence, dental function, and long-term oral health.
Dr. Mark L. Newey can replace missing teeth with dental implants at our Clearfield, UT, practice, also serving Layton.
Why choose dental implants over traditional tooth restorations? Find out during a consultation.
What Are Dental Implants?
Dental implants are a revolutionary treatment where we place a titanium implant in the gums. The implant fuses to your jawbone and becomes part of your oral anatomy. When it heals, it is topped with a custom-made restoration, repairing the gap in your smile and restoring your dental function.

Are You Missing Teeth? Contact Our Clearfield, UT, Office Today
Dental implants are a superior option for replacing missing teeth. Whether you're missing one tooth or several teeth on your upper and lower dental arches, Dr. Newey can fill the gaps in your smile with titanium implants. Crowns, bridges, and dentures can all be anchored by implants, giving you a more secure bite than traditional prosthetics.
Our Utah dental surgery office serving Clearfield and Layton is open Monday through Friday. Request a consultation today or call:
(801) 825-1116

“Quick, easy, and stress-free as could be.”
Dr. Newey and his staff are very attentive. From our first consultation to the day of surgery they were commutative and patient. Dr. Newey is very knowledgeable and a gifted surgeon that has done surgery on myself, and now my son. I wouldn't trust anyone else.
View On GoogleI have severe anxiety with any dental work and surgery in general, but Dr. Newey and his staff made my experience as quick, easy and stress free as could be. I highly recommend The Oral & Facial Surgery Center and is my first choice for any future oral surgeries!
View On GoogleTrust Our Doctor With Your Dental Implants Dr. Newey Specializes in Complex Oral Surgery
Like any complicated procedure, It is important to be selective when it comes to your dental implant provider. Unlike most general dentists, Dr. Mark L. Newey has undergone additional years of education and training to provide advanced oral surgery. When you undergo treatment at The Oral & Facial Surgery Center in Utah, you get access to every phase of your dental implant procedure under one roof. We use state-of-the-art technology to diagnose your oral condition, place implants, and craft custom restorations, ensuring successful results and your satisfaction.

5-Star Reviews From Our Patients in Layton and Clearfield
I’m very impressed with Dr Newey and his staff. I had much less pain than I expected and they took very good care of me.
View On GoogleI recommend this place. They are by far the best. Amazing Dr and staff.
View On GoogleContact The Oral & Facial Surgery Center Request Your In-Depth Implant Consultation
Dr. Newey has devoted his entire professional career to superior dentistry, helping patients throughout Clearfield, Layton, and all of Utah smile confidently once again. If you are considering dental implants, there is no better place than The Oral & Facial Surgery Center. Get started on your treatment today by requesting a consultation at our Clearfield, UT, dentist's office.
Give us a call at:
(801) 825-1116
Dental Implant Candidacy
Patients looking for dental implants in Clearfield, UT, must meet a few key requirements for candidacy.
Dental Health
Other than tooth loss, you should be in good dental health — free of infection and periodontal disease. Your dentist may recommend extractions if you have extensive tooth decay to give you a better foundation for your dental implants.
Bone Density
Since the jawbone stabilizes implants, patients must have sufficient bone density. If long-term tooth loss has caused jaw recession, we offer a preliminary bone graft procedure to supplement your oral tissues.
Overall Health
Remember, implant surgery is only recommended for those healthy enough to undergo the procedure. If you are a smoker or have certain medical conditions like uncontrolled diabetes, you may be better suited for traditional restorative dentistry.
If You Have Low Jawbone Density Bone Grafting Can Restore Your Candidacy
If you lack sufficient bone tissue in your jaw to support titanium dental implants, Dr. Newey in Clearfield can perform bone grafting to restore your candidacy for this solution. During this procedure (sometimes called ridge augmentation), grafting material is used to build up recessed areas. Once the graft integrates with your jaw, it will be able to support dental implants.
If you have experienced bone tissue loss in your upper jaw between the molars and premolars, or if your sinus membranes lay too close to the treatment site, you can undergo a sinus lift to become eligible for implants. The sinus lift gently elevates the sinus membrane, making room for the jaw to safely accommodate implants without disturbing these soft tissues.

Why Our Patients Love Us “Dr. Newey & his staff are absolutely amazing.”
Dr. Newey & his staff are absolutely amazing. He is so personable & raw, he’ll tell you exactly how it is without beating around the bush. They took amazing care of my fiancé & continue to do so. We are so thankful for Dr. Newey & his team!
View On GoogleDoc and Staff are friendly. They took real good care of my daughter before, during and after her procedure. Clean and welcoming environment
View On Google
Implant-Supported Dentures
Are Superior to Traditional Dentures
While removable dentures continue to become more comfortable and lifelike with better technology, implant-supported dentures are still the best choice for those who meet the requirements. Implants from our Clearfield, UT, dentist's office have many important advantages over removable dentures, such as:
Incredible Stability
Removable dentures rely on suction and mild adhesive materials to stay in place. With implant-supported dentures, you don't have to worry about slippage. These dentures are attached to the jawbone, just like natural teeth, virtually eliminating any risk of them shifting out of place.
Better Oral Health
The titanium posts stimulate tissue in the jawbone, helping it to stay healthy and strong. The jawbone loses stimulation when you lose a tooth, leading to bone atrophy. Traditional dentures can't stop bone atrophy; as a result, they need constant adjustment to achieve a proper fit. Implant dentures require far fewer adjustments.
Improved Overall Health and Speech
Since removable dentures are unstable, they may steer you away from foods like raw vegetables and fruit. But with implant dentures, you will be able to chew any foods you want, giving you easy access to a nutritious diet. Implant dentures also make enunciation much easier, so you can feel confident when speaking.If you have traditional dentures, it's absolutely worth considering an upgrade to implant dentures. Dr. Newey is happy to show you how implants can improve your quality of life at his Clearfield office.
Is Dental Implant Placement Painful?
No. Before your procedure at his practice serving Clearfield and Layton, Dr. Newey will numb the treatment site and make sure you are comfortable. Our doctor is certified in anesthesia, allowing him to provide optimum comfort during your surgery. We also have a variety of sedation options that can ease any pain or anxiety.
The Dental Implant Timeline At Dr. Newey's Practice
The intricate design of dental implants requires a more complex procedure than traditional restorations. Expect to attend multiple appointments at our Clearfield, UT, practice over several months to complete the following steps of treatment:
Qualifying patients can receive single-stage implants that combine the implant and abutment surgeries and shorten the overall length of treatment.
Are There Any Risks Involved With Dental Implants?
Like any surgery, dental implant placement involves certain risks. These include:
- Implant failure
- Infection
- Nerve damage
- Sinus damage
The surest way to reduce these risks is to choose a dental professional who has a track record of satisfied patients and the skill to safely perform oral surgery.
Dr. Newey and his team have placed implants for many satisfied patients, providing outstanding treatment in complete comfort and safety. This approach has brought favorable reviews and praise about our Utah dental office, serving Farmington, Layton, and other communities. Come see for yourself why patients choose the Oral & Facial Surgery Center in Clearfield for their dental implants.
Dental Implant Surgery Can Change Your Life
Living with just one missing tooth can make speaking and chewing more difficult. If you have multiple missing teeth, the functionality of your mouth is likely greatly compromised. Fortunately, dental implants can give you virtually the same level of function, health, and confidence that a full set of healthy natural teeth provide.
With dental implants, you can eat the foods you love and speak with clarity. Aren't you ready to stop worrying about your compromised smile and start enjoying delicious meals and conversations with friends? Request a consultation with Dr. Newey at his Clearfield office to learn more about how this milestone in dentistry can benefit you.
Call: (801) 825-1116
“So glad I found this dental surgeon!” Wonderful Reviews From Syracuse, Layton, and Beyond
So glad I found this dental surgeon! I had to get a tooth removed and the process went smooth. He was very straight forward and made the decision easy. If I ever need to get another procedure done, Dr. Newey is who I will go see!
View On GoogleAmazing staff, amazing service! Extremely polite and informative about your procedure. I would definitely recommend.
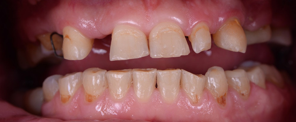
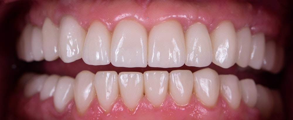
View On GoogleSee the Difference Implants Make
Our Layton and Clearfield patients can dramatically transform their appearance and self-confidence with dental implants. Our goal is to provide safe, effective implant surgery complemented by stunning custom restorations that look indistinguishable from natural teeth.
These are images of one of Dr. Newey's patients, both before dental implants and after. Dr. Newey performed implant placement to create a stable, long-lasting foundation for a custom implant denture.


Getting the Most From Your Implants
Your dental implants will last a lifetime if given the proper care. Restorations supported by implants can last 10 to 15 years. To get the most out of your implants, The Oral & Facial Surgery Center recommends these tips:
Use a Soft-Bristled Toothbrush
This style of toothbrush will gently clean your teeth without using harsh abrasive materials. Brush your teeth twice a day and be sure to scrub around your prosthetic.
Floss Daily
Plaque can build around a prosthetic in areas where a toothbrush cannot reach. Make sure to floss once a day, including around your prosthetic.
Avoid Damaging Your Prosthetic
While dental implants have no restrictions on what foods you can eat, your prosthetics can be damaged by hard or sticky foods. Be careful when it comes to eating foods that can compromise the functionality of your prosthetics.
Advanced Surgical Techniques for Streamlined Treatment

Dr. Newey takes advantage of innovative surgical techniques to condense your treatment timeline when possible. For example, we often place implants on the same day of your preparatory dental work if you have tooth decay and need extractions. Certain qualifying patients can also receive single-stage implants that combine the implant and abutment surgeries and shorten the overall length of treatment.
If being without teeth for a substantial amount of time is a concern, Dr. Newey can provide a temporary restoration to fill the gaps in your smile, allowing you to maintain dental function throughout osseointegration. Our Clearfield practice welcomes patients from Layton, Clinton, and other Wasatch Front communities. We strive to make treatment as convenient as possible without compromising on high-quality results.
How We Help Keep Your Care Affordable
Our Clearfield, Utah, office strives to deliver quality care at a reasonable cost to our patients. Generally, payment is due at the time service is rendered, unless other arrangements have been made.
Factors like the number of implants placed and the type of restoration you select will affect the cost of treatment. Since every treatment plan is personalized, there are no fixed prices for every patient.
Basic dental insurance doesn't cover implants. Most plans will cover at least part of the cost of your replacement teeth and contribute to paying for preparatory work.
For the convenience of our Clearfield and Layton patients, we accept Visa, Master Card, American Express, and Discover. We also accept CareCredit®, which allows you to pay for your treatment in low-interest and interest-free installments.
"I would never go anywhere else!"
"I cannot say enough good things about this office and staff... Every person I had a interaction with from the front office staff to the doctor were more than competent... I had a awful experience with my implants from another doctor and he had to remove them, do bone grafts and then a new implant. I would never go anywhere else!!! Laney

